Journal of Tropical Diseases and Parasitology ›› 2025, Vol. 23 ›› Issue (5): 306-309.doi: 10.20199/j.issn.1672-2302.2025.05.010

• CASE REPORT • Previous Articles     Next Articles

A rare case of sparganosis mansoni with pericardial effusion as the initial manifestation

LIU Yuhe(), GAO Chang, ZHANG Jie, ZHANG Xian, CHEN Youpeng()   

  1. Department of Infectious Diseases, the Seventh Affiliated Hospital of Sun Yat-sen University, Shenzhen 518107, Guangdong Province, China
  • Received:2025-04-16 Online:2025-10-20 Published:2025-11-28
  • Contact: CHEN Youpeng,E-mail: chenyoupeng@sysush.com

Abstract:

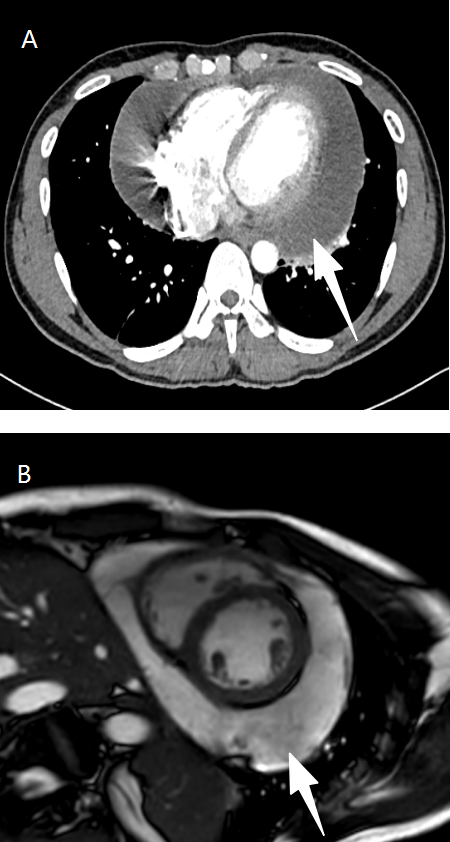
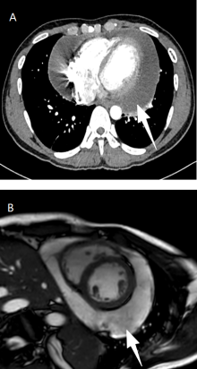
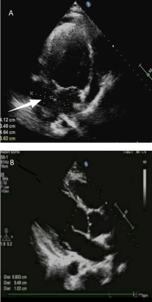
This article reports the diagnosis and treatment process of one case of sparganosis mansoni. The patient was a young man, admitted to the hospital due to “substernal pain accompanied by shortness of breath for over a week”. Cardiac MR and enhanced chest CT examinations revealed large amount of pericardial effusion. Hemorrhagic exudate was found by pericardiocentesis, and routine laboratory examination of the pericardial effusion showed a significant increase in the proportion of lymphocytes and adenosine deaminase (ADA) levels. He was initially suspected to be tuberculosis infection, yet no evidence could support this conclusion by additional laboratory studies, including mNGS of the pericardial effusion, T-SPOT.TB, and sputum AFB smear. Further inquiry into the medical history revealed that the patient had a history of consuming raw frog meat. Both routine blood test and biochemical analysis of the pericardial effusion indicated elevated eosinophils, and the serum antibody test positive for Spirometra mansoni. Consequently, empirical therapy with praziquantel was initiated. After medication, the patient’s clinical symptoms were significantly improved, and follow-up examination showed resolution of the pericardial effusion. The patient was ultimately diagnosed with an infection caused by sparganosis mansoni.

Key words: Sparganosis mansoni, Pericardial effusiont, Eosinophils

CLC Number: